Heart disease outpatient
心臓病専門外来

検査について
検査項目
身体検査(聴診、心拍数、呼吸数、粘膜色)
血圧測定
心電図検査
レントゲン検査
心臓超音波検査
血液検査
毛量が多い子、剛毛な場合には毛刈りをさせていただく事があります。
興奮しやすい子の場合、鎮静剤を投与して検査することがあります。
所要時間は1~2時間ほどです。お預かりして検査する場合もあります。
検査内容
[ 血圧、心電図検査 ]
心臓は常にリズミカルに動いて全身に血液を送っています。(拍動)
これが異常になる状況を不整脈といいます。
不整脈になると全身に血液を送り出せなくなり失神してしまうこともあります。
また、心臓が悪くなると一般的に血圧が上がります。
この検査は心臓の検査の中で最も基本的なものとなります。
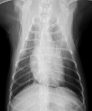
[ レントゲン検査 ]
一般的に心臓が悪くなってくると循環が悪くなり心臓が大きくなります。さらに状況が悪くなると肺に水が溜まったり(肺水腫)、胸の中やお腹に水が溜まったりします(胸水、腹水)。
これらの状況を確認するためにレントゲン検査が必要なります。
[ レントゲン画像サンプル 左;正常、右;心拡大・肺水腫 ]
![]() |
![]() |
[ 超音波検査 ]
心臓の状態を評価するために超音波検査は必須の検査です。
心臓の雑音が聴診器で聞こえても実際にはどのような状況で雑音が聞こえているのかがわかりません。心臓の状況を正確に把握するためには、エコーを使用し心臓内部の大きさ、心筋の厚さ、心筋の動き、血液の流れる速度や方向などを確認しなければいけません。
当院の超音波検査機器は人医療においても最上位機種を導入しています。(2021.2現在)
HITACHI製 ALOKA ARIETTA 850
小型犬に多い僧帽弁閉鎖不全症では特に弁の形態や動きの確認、血流の異常、心臓の大きさを確認して病期のステージ分類をする事で「お薬が必要な状況なのか?」「今飲んでいるお薬の種類や量が適切に処方できているのか?」を客観的に評価する事ができます。
エコー画像サンプル
[ 血液検査 ]
腎臓や肝臓の値、貧血のチェックなど一般的な血液検査の他、必要に応じて特殊な血液検査項目を測定する事があります。心臓で分泌されるホルモンで心臓の負担が大きくなったり、心筋が厚くなると高くなる“NT-proBNP”の測定などがあります。






